
脳神経外科(=脳外科)というと開頭手術など恐いイメージがあり、たぶん敷居が高いと思います。院長である私も前任地では脳外科部長として日々手術を行っていました。
しかし、クリニック(無床診療所)の役割は少し違います。
大きな病院と同等の検査をすぐに行い、専門医としての経験と知識を活かしてわかりやすく説明します。正確な診断が有効な治療につながると考えており、当クリニックで治療が困難な場合には適切な医療機関にご紹介させていただきます。
病院にも得意な病気とやや不得意な病気があり、これをクリニックで選択することが地域の医療ネットワークを維持する上で重要と考えます。(病診連携、診診連携)

神戸市東灘区の「おざき脳外科クリニック」は、頭痛・めまい・もの忘れ・脳卒中・生活習慣病の予防と早期発見につとめ、神戸市・芦屋市・西宮市にお住まいの皆様に対し、地域に根ざした医療を提供してまいります。
高血圧、高脂血症、糖尿病などの生活習慣病を適正にコントロールすることが脳卒中予防につながるため、地域の「かかりつけ医」としても頑張っていきたいと考えています。生活習慣病(高血圧、糖尿病、高脂血症)の治療と予防、風邪の治療等もお気軽にご相談ください。
どうぞ、お気軽に当クリニックを訪れご相談ください。

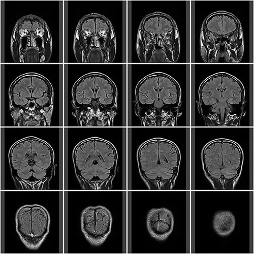
当院では、身体にやさしい、MRI装置(1.5T)を導入しています。
放射線を用いていないので、従来放射線をあてたくなかった部位の検査も安心して行うことができます。検査はベッドに横になっているだけで体の向きを変えることもなく、検査による苦痛はありません。

日本脳ドック学会が発行したガイドラインに準拠し皆様の健康維持のお手伝いをしたいと考えています。
他院でお受けになられた健診や人間ドックの結果をお持ちいただけると、さらに良いと思います。

MRI検査を即日施行することにより、脳に原因のあるめまいを早期発見します。

手足のしびれの原因によって治療法は全く異なるため、正確な診断が重要です。

認知症は、正確な診断と早期の治療が大切です。

頭痛の原因は様々です。正しい診断と治療でQOLの向上に貢献します。

無症候性脳梗塞、くも膜下出血の原因となる未破裂脳動脈瘤の早期検出、後遺症のリハビリも行っています。

脳卒中の危険因子となる、生活習慣病(高血圧、糖尿病、高脂血症)の治療を行います。
当院では、明細書付領収書を発行しております。
なお、明細書には使用した薬剤の名称や行われた検査の名称が記載されるものです。明細書付領収書の発行を希望されない方は、窓口にてその旨お申し出ください。
当院では、後発医薬品のある医薬品について、特定の医薬品名を指定するのではなく、薬剤の成分をもとにした一般名処方(一般的な名称により処方せんを発行すること)を行う場合があります。
また、状態が安定していることを確認できた患者様には28日を超える長期処方やリフィル処方せんの発行が可能です。
当院では、質の高い診療を実施するため、オンライン資格確認システムを利用し患者様の薬剤情報、特定健診情報などの情報の取得・活用に努めています。